Publicidad

Lo Último

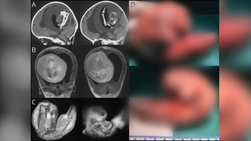
Feto en la cabeza

Publicidad
Publicidad
Publicidad
Publicidad

Lo mas reciente en El Heraldo